Missouri executed 74-year-old convicted cop-killer Cecil Clayton on Tuesday night. But Clayton was not your ordinary inmate.
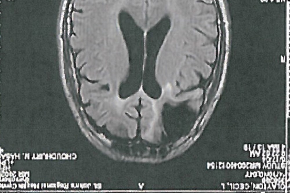
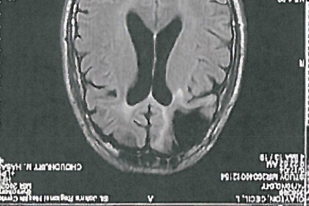
In 1972 — some 24 years before committing the crime for which he was sentenced to death — Clayton was injured in a sawmill accident in which a piece of wood pierced his skull. As a result, doctors removed one-fifth of Clayton’s frontal lobe, the part of the brain that controls decision-making, mood, and impulse-control. Thereafter, Clayton “broke up with his wife, began drinking alcohol and became impatient, unable to work and more prone to violent outbursts,” one of his brothers told The Atlantic. His IQ dropped, and in 1983, Clayton was diagnosed with chronic brain syndrome, a condition said to decrease mental function.
Then, in 1996, Clayton’s life changed forever — again — when he shot and killed a police officer. Before Barry County Sheriff’s Deputy Chris Castetter even got out of his vehicle at Clayton’s home — where the officer had gone to investigate a domestic dispute — Clayton fatally shot Castetter in the head, according to police. A Missouri jury found him guilty and sentenced Clayton to death.
RELATED: Missouri killer Cecil Clayton fights to halt execution
The landmark 2002 Supreme Court case Atkins v. Virginia famously held that executing mentally disabled individuals violates the Eighth Amendment’s ban on cruel and unusual punishment. And if it was up to Clayton’s defense team, the same principle — interpreted in Missouri to mean that an individual must be aware of his impending execution and understand why it is happening — would have protected their client from certain death.
But late Tuesday, that decision lay in the hands of the nation’s high court, which considered Clayton’s last-ditch appeal, but ultimately declined to stop the execution.
Clayton was pronounced dead by lethal injection at 9:21 p.m. local time.
Gov. Jay Nixon also denied Clayton clemency nearly three hours before the execution was originally scheduled to begin Tuesday night. “This crime was brutal and there exists no question of Clayton’s guilt,” he said in a statement.
“Mr. Clayton’s IQ, since his accident and subsequent deterioration, now falls within the range required for intellectual disability,” the defense wrote in its appeal to the high court. “And there is substantial evidence of adaptive deficits; Mr. Clayton, even in prison, cannot without assistance order canteen items or navigate the telephone system.”
Missouri said that medical exams had found Clayton understood why he was being executed and that meant he was competent to face the needle. They argued that Clayton’s intellectual deficits had to be present before he turned 18 to let him escape execution and that he waited too long to raise his claim.
“As one who has carried a badge most of my adult life, I share the outrage of every Missourian at the murder of law enforcement officer, Deputy Christopher Castetter,” Missouri Attorney General Chris Koster said in a statement following the execution. “Cecil Clayton tonight has paid the ultimate price for his terrible crime.”
None of the U.S. Supreme Court justices accepted Clayton’s arguments for a stay based on his brain injury, though four did say they would have granted a stay based on his claim that Missouri’s secrecy-shrouded process for obtaining the lethal dose of pentobarbital could lead to an unconstitutional death.
Rachel Kleinman
Tracy Connor









